Technology that takes care of what matters most
At Reprotec we have integrated advanced technologies
that not only raise our success rates, but also offer our patients the peace of mind of being
In the hands of a team that prioritizes safety, precision and continuous monitoring of each procedure.
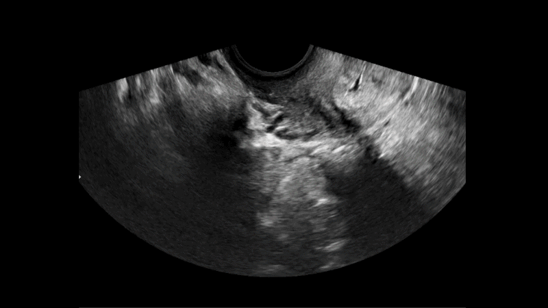
Folliscan:
Artificial intelligence in assisted reproduction
When artificial intelligence is integrated into reproductive medicine, it not only adds technology: it provides precision, clinical consistency and better tools for decision-making.
At Reprotec we continue to incorporate innovations that optimize infertility management. That is why today we are the only center in Colombia that has Folliscan, a system based on artificial intelligence designed for monitoring of follicles during ovarian stimulation.
Folliscan automates identification and follicular measurement from 2D and 3D transvaginal ultrasounds, generating fast and consistent results that complement the specialist’s evaluation and reduce variability between clinical explorations.
Its integration allows us to:
Optimize follicular monitoring times.
Standardize measurement criteria within the medical equipment.
Strengthen decision-making based on more accurate clinical data.
The incorporation of technologies such as Folliscan reflects our permanent commitment to increasingly accurate, efficient and reliable reproductive care, combining medical experience with advances in artificial intelligence to maximize the opportunities of our patients.
Two fundamental tools in our laboratories are Witness and Time Lapse, technologies that mark a before and after in assisted reproduction in Colombia.
Witness:
The technology that protects your samples from the beginning
In every fertility treatment, there is something that cannot fail: the correct and safe identification of biological material.
Witness is a biomedical control system that verifies every step of the process in an automated way, eliminating the risk of human error.
Each sample (eggs, sperm and embryos) is identified with a unique barcode assigned to the patient. In the laboratory, each container with samples and each tool used has electronic sensors.
If an action does not correspond to the registered identity, the system automatically blocks it and launches an alert. This ensures that only the right elements can be used at the right time, ensuring the total traceability of the biological material.
Why is the Witness system so important?
Time-lapse technology
To give the best care to your embryos
Embryos are the result of fertilization of the egg and sperm and are the promise of fertility treatment! From the moment they are created they require special care for their evolution until the moment when one of them is going to be transferred to the patient’s uterus.
This is why at Reprotec we have acquired incubators with the most used technology in the world called Time Lapse. Thanks to this technology, we can monitor the embryos in real time through images that can be seen on a computer screen.
While the embryos are inside the incubator, they can be evaluated according to their cell development without having to remove them from their ideal environment.
Consult your specialist and find here a decisive element to choose Reprotec as your fertility center.
What does Time Lapse offer?
Unlike traditional incubators that need to be opened to evaluate the embryo under the microscope, time-lapse systems incorporate a microscope and a camera in the incubators that take images of the embryos every 10 minutes until the culture period is complete.
Real benefits for our patients:

Decisions can be made based on data and evidence.

generates an improvement in the treatment success rate.

Increases effectiveness in embryology laboratory processes.
Why trust Reprotec technology?
Because beyond having state-of-the-art equipment, we know how to integrate them in an ethical, safe and focused way in each clinical case. In Reprotec, technology does not replace the human: it complements it and enhances it.
Choosing us is to access a fertility center in Colombia that works with international quality standards and with solutions that improve your experience and increase the chances of achieving the pregnancy you want so much.